熱線:021-66110810,66110819
手機:13564362870

熱線:021-66110810,66110819
手機:13564362870
結果
MS NPs的合成與表征
圖2 MS NPs的合成及其形態和微觀結構表征。
傳統上在惰性氣體中通過固體反應制備的微尺度Mg2Si粒子體積太大,無法在液體介質中分散。為了獲得具有組織穿透性的可注射MS NPs,我們開發了一種在O2/Ar混合氣體環境下的特殊自推進高溫合成(SHS)方法。在這種方法中,O2可以與過量的鎂發生放熱反應,從而誘導鎂和硅發生后續的結合反應。圖2a中的掃描電子顯微鏡(SEM)圖像顯示,洗滌前的產品似乎含有大量微顆粒;X射線衍射圖樣分析顯示,這是Mg2Si和MgO的混合物。通過放大的SEM圖像和相應的裂紋顆粒的能量色散光譜(EDS)元素圖譜(圖2b、c),可以確認這些微顆粒具有確定的核殼形態,即Mg2Si/MgO內核位于薄薄的MgO外殼中。從眾所周知的晶界鎖定效應來看,作為環繞Mg2Si顆粒的高熔點相,MgO副產物可抑制其不必要的晶粒生長,而MgO外殼則可防止內部Mg2Si氧化。對Mg2Si納米粒子進行洗滌以去除氧化鎂,然后用PVP對其進行修飾和透射電子顯微鏡(TEM)圖像(圖2d)表明,得到的MS NPs雖然形態不規則,但直徑小于100nm,且分散良好。此外,制備的MS NPs結晶良好,具有明顯的鋸齒狀邊緣(圖2e,f),這表明SHS過程非常迅速,沒有進一步的再結晶和增強生長。這種利用MgO副產物作為Mg2Si晶體生長抑制劑的特殊SHS策略(圖2g)使非聚集MS NPs的合成成為一種可注射的DOA。
對pH值敏感的脫氧效應
圖3合成的MS NPs對pH值敏感的脫氧效應。
Mg2Si中的Lewis堿性Si4-離子對酸性具有敏感的反應性,這使得硅烷得以釋放并開始脫氧。為了揭示MS NPs依賴于pH值的氧清除行為,我們將其密封在透析袋中,然后將透析袋放入密閉的試管中,浸入不同pH值(7.4、6.5和4.5)的緩沖介質中。令人興奮的是,在酸性介質中,MS NPs可使溶解氧水平急劇下降,而在pH=7.4時,其影響可忽略不計(圖3a)。此外,酸度的增加還能顯著促進氧氣的消除。脫氧溶液可以維持在缺氧狀態,而不會出現任何可檢測到的再吸氧現象,這表明氧氣的消耗是不可逆的。與pH=7.4條件下未反應的MS NPs相反,在脫氧過程中發現透析袋內產生了大量的宏觀絮凝物。這些絮凝聚集體是無定形的二氧化硅,呈現出數十微米大小的片狀聚集形態。除了必要的酸度外,這種動力學主導的脫氧效率還在很大程度上取決于MS NPs在培養基中的分散性。
鎂和硅釋放行為的定量比較進一步證實了硅的相對不穩定性,在所有情況下,15小時內的釋放量都小于5%,可以忽略不計,這與鎂在酸性介質中的快速釋放形成了鮮明對比(圖3b,c)。與在pH=7.4條件下的惰性不同,MS NPs在酸性介質中逐步演化和生長為清晰的納米片形態,并最終轉化為較大的SiO2微片(圖3d-f)。至于硅烷燃燒的機理,釋放出的SiH4與溶解的O2反應首先會產生一系列瞬時中間產物,一般通式為HxSi(OH)4-x,其后的縮合物在很大程度上決定了SiO2片的尺寸(圖1)。與氣態O2相比,這種縮合相對緩慢,因為水溶液中的SiH4會逐漸釋放,這就為最終產物SiO2微片的形成提供了足夠的時間。這種在原位形成的二氧化硅聚集體可進一步演變成許多緊密的栓子,從而有效地阻塞模擬血液循環系統中的特氟龍毛細血管(圖3g-j),這表明在體內這些形成的血栓很可能會阻塞直徑達幾十微米的腫瘤毛細血管。
除了直接溶解在血流或組織中的游離氧外,大多數氧分子都與血紅蛋白中卟啉環內的鐵離子結合在一起(圖3k)。如圖3l所示,在含有MS NPs的酸性介質中,氧合血紅蛋白(HbO2)可還原成脫氧血紅蛋白。結合上述自由氧的消除,MS NPs對結合氧的這種酸性特異性脫氧作用表明,在腫瘤中完全清除氧是理想的。此外,研究還發現硅烷中間體是一種溫和、安全的還原劑,在水溶液中經歷了不可逆的八電子還原過程,從而能夠額外清除羥基自由基和過氧化氫,它們是癌癥中常見但潛在的有害物種。
用于癌細胞饑餓的體外脫氧技術
圖4體外評估MS NP介導的細胞饑餓脫氧。
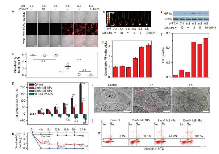
在正常培養條件下,MS NPs及其脫氧產物的細胞毒性可忽略不計。為了評估它們在體外對pH值敏感的脫氧作用,我們采用了pH=6.5的酸性培養基來模擬腫瘤細胞外的中度酸性環境,并選擇了MCF-7人乳腺腺癌細胞,因為該細胞位于表層,可以進行實際的腫瘤饑餓給藥。令人興奮的是,加入MS NPs后,在培養基中觀察到了快速的酸性特異性脫氧效應,這表明在酸性環境中可以有效清除細胞內的氧氣,細胞內氧氣水平指示劑[Ru(dpp)3]Cl2(dpp,4,7-二苯基-1,10-菲羅啉)的紅色熒光顯著增強就是證明(圖4a,b)。此外,通過與18F標記的氟咪唑(18F-MISO)(一種能夠選擇性地與缺氧細胞結合的商用缺氧分子探針)孵育,隨后的18F正電子發射斷層掃描(PET)/計算機斷層掃描(CT)成像可對細胞缺氧水平進行定量評估(圖4c,d)。與未添加酸或MSNP的情況相比,添加酸和MSNP的情況下PET圖像中的18F-MISO放射性信號更強。這一點以及缺氧誘導因子1α(HIF-1α)蛋白表達水平的增加(圖4e,f)顯然證實了MSNP和酸性物質的同時存在對造成細胞內嚴重缺氧的不可或缺性。
在本研究中,MS NPs或酸度單獨誘導的細胞生長沒有可檢測到的影響。然而,它們協同誘導的細胞內缺氧卻能有效抑制細胞增殖。在施用較高濃度MS NPs的情況下,這種缺氧會導致細胞生長受到嚴重抑制,與對照組的指數生長曲線形成鮮明對比(圖4g)。在使用低濃度(2mM)MS NPs的情況下,培養基缺氧(圖4h)引起的細胞缺氧程度相對較低(圖4d),但在24小時內細胞增殖抑制率仍高達50%左右。增加5毫摩爾的劑量可有效改善抑制效果,但進一步增加10毫摩爾的劑量后,耗氧率、細胞內缺氧水平和細胞生長抑制效率都沒有明顯提高(圖4b、d、g),這表明在5毫摩爾左右就達到了缺氧飽和。在脫氧環境中保存時,這些缺氧細胞的形態發生了巨大變化,其特征是連續的細胞剝離、膜損傷和膜溶解)。此外,與常氧細胞不同的是,脫氧細胞中的線粒體受到了不可逆的破壞,表現為嚴重腫脹、膜破裂和漿溢出(圖4i)。據信,這些窒息的線粒體失去了呼吸和代謝ATP生成功能,最終導致細胞壞死和/或凋亡。
為了進一步證實缺氧對細胞殺傷的唯一作用,并排除已形成的二氧化硅微片的任何潛在影響,我們設計了一種特殊的實驗裝置。細胞在pH值為7.4的培養基中培養,并置于有蓋容器中,但在有蓋容器內放置了一個開放的微離心管,其中裝有pH值為6.5的MSNP溶液。管內會發生快速脫氧,從而導致外部培養基中的缺氧水平逐漸升高。盡管細胞內氧消耗緩慢,但細胞活性也同樣下降,同時細胞凋亡和線粒體損傷顯著增加(圖4j),這排除了缺氧以外的細胞毒性可能原因。更重要的是,MSNP介導的脫氧作用一般適用于其他細胞系的增殖抑制和細胞內羥自由基或過氧化氫的消除。所有這些結果都表明,MS NPs是抑制細胞增殖的一種有利的酸性特異性DOA。