熱線:021-66110810,66110819
手機:13564362870

熱線:021-66110810,66110819
手機:13564362870
Evaluation of the Acquisition of the Aerobic Metabolic Capacity by Myelin, during its Development
髓鞘發育過程中有氧代謝能力獲取的評估
來源:Molecular Neurobiology, Volume 53, 2016, Pages 7048-7056
《分子神經生物學》第53卷,2016年,第7048-7056頁
摘要
論文摘要指出,先前研究表明髓鞘中存在電子傳遞鏈和FoF1-ATP合酶,能進行線粒體外氧化磷酸化(OXPHOS),為軸突提供能量,支持髓鞘對軸突的營養作用。本研究旨在了解髓鞘發生過程中OXPHOS機制何時和如何嵌入髓鞘。使用大鼠模型,從出生后5天到90天取樣,通過Western blot、免疫熒光顯微鏡、發光測定和氧測定分析,發現分離髓鞘在出生后約11天開始出現OXPHOS組件,并隨年齡增加,約30天時類似成體。WB數據顯示髓鞘發生與線粒體融合和細胞運輸蛋白出現之間存在時間關系,推測OXPHOS復合物可能通過內質網膜和高爾基體轉移到形成中的髓鞘膜。
研究目的
研究目的是調查髓鞘發育過程中有氧代謝能力的獲取,特別是確定OXPHOS機制在髓鞘中出現的時間點和方式,并探討其與髓鞘發生的關聯,以驗證髓鞘具有能量生產功能的假設。
研究思路
研究思路采用大鼠發育模型,在不同時間點(出生后5、7、11、14、33和90天)取樣,分離腦勻漿和髓鞘組分。通過Western blot分析OXPHOS蛋白(如ATP合酶β亞基和ND4L)和髓鞘標記蛋白(如MBP)的表達;免疫熒光顯微鏡觀察蛋白定位;使用丹麥Unisense電極測量氧消耗;發光法測定ATP合成;并分析內質網、高爾基體和線粒體融合標記的表達,以評估OXPHOS機制的發育時間進程和潛在轉移途徑。
測量的數據及研究意義
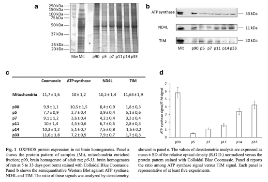
1 測量了OXPHOS蛋白(ATP合酶和ND4L)在腦勻漿和分離髓鞘中的表達水平,通過Western blot和密度定量分析。數據顯示這些蛋白從出生后5天開始出現,在髓鞘中于11天左右顯著增加,隨年齡增長而升高(數據來自圖1和圖2)。研究意義是證實髓鞘在發育過程中逐步獲取OXPHOS組件,支持其有氧代謝能力的成熟,與髓鞘發生同步。


2 測量了髓鞘基本蛋白(MBP)的表達作為髓鞘發生標記,通過Western blot和免疫熒光(圖2和圖3)。數據顯示MBP與OXPHOS蛋白表達趨勢一致,從11天開始增加。研究意義是驗證髓鞘發育與OXPHOS機制嵌入的相關性,表明能量獲取是髓鞘形成的組成部分。

3 使用丹麥Unisense電極測量了分離髓鞘的氧消耗速率(圖4a)。數據顯示氧消耗從出生后14天開始可檢測到,并在33天和90天時增強,且能被NADH和ADP刺激。研究意義是直接證明髓鞘發育后期獲得功能性OXPHOS,能進行有氧呼吸,并顯示與線粒體類似的耦合呼吸。

4 測量了ATP合成能力通過發光法(圖4b)。數據顯示ATP生產從出生后5天開始,但早期可能依賴糖酵解,而從11天起增加,與OXPHOS組件表達一致。研究意義是表明髓鞘能量生產從厭氧向有氧過渡,支持其軸突能量供應角色。
5 測量了內質網標記(Calnexin)、高爾基體標記(Giantin)和線粒體融合蛋白(OPA1)的表達(圖5)。數據顯示這些標記在發育早期增加,峰值在14-33天。研究意義是提示ER和Golgi可能參與OXPHOS機制從線粒體到髓鞘的轉移,為膜 trafficking 機制提供證據。

結論
1 髓鞘在發育過程中逐步獲取OXPHOS機制,從出生后11天開始出現組件,約30天時完全功能化,與髓鞘發生同步。
2 髓鞘的有氧代謝能力依賴OXPHOS,氧消耗和ATP合成在發育后期激活,支持其能量提供功能。
3 ER和Golgi可能介導OXPHOS機制轉移,線粒體融合蛋白表達增加表明動態相互作用,這可能是髓鞘能量代謝的進化適應。
使用丹麥Unisense電極測量數據的研究意義
丹麥Unisense電極(Clark型氧微電極)用于直接測量分離髓鞘的氧消耗速率,提供OXPHOS功能的實時定量數據。測量顯示,髓鞘氧消耗從出生后14天開始可檢測(圖4a),且能被底物(如NADH)和ADP增強,表明功能性電子傳遞鏈和耦合磷酸化。研究意義在于首次在發育時間線上證實髓鞘獲得有氧呼吸能力:早期(5-11天)髓鞘可能依賴糖酵解,而后期(14天起)OXPHOS激活,使髓鞘能高效產ATP供軸突使用。電極數據還顯示,成年髓鞘(90天)有持續基礎氧消耗,提示OXPHOS是髓鞘的固有特性。這支持髓鞘的營養角色,并解釋了脫髓鞘疾病中能量缺陷導致的軸突變性。此外,氧消耗測量驗證了WB和免疫熒光結果,為髓鞘能量代謝提供了功能證據,強調了發育過程中能量途徑的轉換。